首頁 產品中心 倒置顯微鏡 倒置顯微鏡MIX60

倒置顯微鏡MIX60

聯系客服

倒置顯微鏡MIX60是一款研究級生物顯微鏡,成像高性能,使用智能化,觀察細節清晰,像場平坦無場曲,超長工作距離聚光鏡,支持明場和相差觀察,可升級拓展熒光觀察;配備OLED數顯屏幕和語音播報功能,實時顯示光強和物鏡倍率。

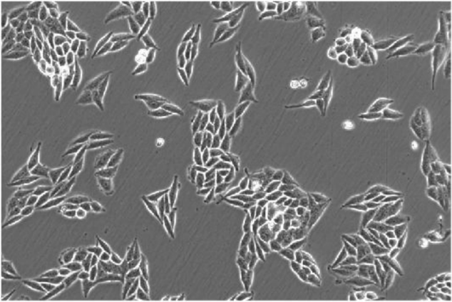
支持多個倍率相差觀察,透明樣本清晰展現

靈活適配不同培養容器,滿足多樣性需求

數智化模塊,設計更貼心

產品優勢

支持多個倍率相差觀察,透明樣本清晰展現

聚光鏡配備推拉式切換相襯插板,可搭配多個相差物鏡實現不同倍率的相襯觀察,清晰呈現活細胞樣品的形態細節。

靈活適配不同培養容器,滿足多樣性需求

萬用樣品夾可適配多孔板和培養瓶等常見培養容器,搭配可翻轉設計,也可滿足特大培養瓶等容器;同時載物臺可擴展到351mm×251mm。

數智化模塊,設計更貼心

·ECO人走燈滅功能 新型傳感器,可設置一定時間內無人使用后自動關閉光源,實現人走燈滅、人來燈亮的功能,省電且延長光源壽命。
·直觀LED數顯屏 機身自帶OLED屏幕,在上方直觀呈現當前物鏡倍數與光強指數,也可進行語音播報,方便選擇物鏡倍數。

規格參數
項目
規格
主機架
無限遠校正光學系統,機身帶ECO人走燈滅功能,可機身取電
目鏡
SWF10X/22平場目鏡,高眼點,一個屈光度可調
SWF10X/23平場目鏡,高眼點,屈光度可調(選配)
對中望遠鏡
目鏡筒
傾角45°,瞳距50-75mm,機身分光比=100:0或0:100
物鏡轉換器
五孔編碼內定位轉換器,滾珠軸承內定位,有防霉裝置,有亮度記憶功能
載物臺
固定載物臺尺寸:267.4mm×271.4mm
XY載物臺移動尺,機械式移動,移動范圍:110mm×75mm
帶載物臺擴展板
萬用樣品夾
可匹配玻片,不同培養皿尺寸
滴水板
圓形透明滴水板:φ118mm
聚光鏡
數值孔徑N.A.:0.3,工作距離WD:72mm
可拆卸式聚光鏡,載物臺上可放置容器高度≥19cm
相差環板
10X相差環1個、20X/40X相差環共用1個
調焦機構
粗微調同軸,配有限位裝置和鎖緊裝置,低手位同軸調焦手輪,微調手輪格值2μm
照明系統
3W全光譜白光LED,亮度連續可調
過濾器支架可插入φ34mm濾色片(藍、綠、黃等),可拆卸
帶孔徑光闌,光圈葉片,可手動控制開關
數顯屏幕
顯示當前工作狀態,包括ECO,語音功能,物鏡倍數與亮度大小等,可進行語音播報當前物鏡倍數
物鏡(按需搭配)
(可選)長工作距離平場消色差物鏡4×/10×/20×/40×
(可選)長工作距離平場相襯物鏡4×/10×/20×/40×
應用領域
資料下載

留言

姓名

電話

內容

微信分享

微信掃描二維碼,點擊右上角 ··· 按鈕

轉發給朋友或分享到朋友圈

電話咨詢

Tel:18102637572
QQ

QQ咨詢

505506350
微信二維碼

微信咨詢

微信

分享微信

TOP