首頁 應用領域 檢驗檢疫 病理成像

病理成像

現代醫學診斷方式非常多樣化,從臨床上根據病史、癥狀和體征等做出的分析性診斷,到利用各種影像(超聲、CT檢查、MRI等)所作出的診斷,都是常用方法,但最終確診性判斷往往需要病理科通過病理成像確認。通過觀測器官的大體(肉眼)改變、鏡下觀察組織結構和細胞病變特征而做出的病理診斷,更具有客觀性和準確性,一份客觀準確的病理診斷不僅需要醫生專業的判斷,還需要通過專業的光學顯微鏡來獲取準確清晰的病理圖像。

病理成像

病理成像的應用

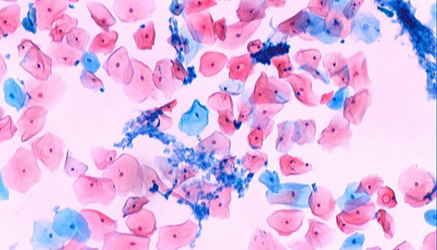
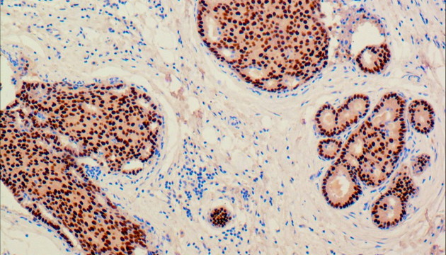
病理學按觀測對象分器官、組織、分子病理學。器官病理學依賴肉眼及顯微鏡,確定病變性質。組織病理學則通過切片染色觀察細微病變,常用HE、PAS、革蘭氏、巴氏及油紅O染色。分子病理學分析蛋白或基因表達,用于疾病進程與藥效評估,常用IHC免疫組化定蛋白質,FISH技術檢測特定基因片段,助力精準醫療。

免疫組化病理,明美ML51-M搭配MSX2拍攝

病理成像的難點

病理成像面臨人體工學、平場性、色彩還原、熒光信號獲取等挑戰,需人體工學設計、高平場性物鏡、精準色彩還原技術,及長壽命LED光源。人體工學設計提升操作舒適度,減少長時間鏡檢的疲勞;高平場性物鏡可以達到22mm視野數甚至25mm視野數的平坦視野,大大提升鏡檢效率;色彩還原主要看光源和相機,采用高顯色性的LED光源,搭配色彩還原良好的顯微鏡相機有助保障色彩還原。另外針對少量掃描數字切片需要,明美還有切片掃描系統,快速合成高清數字切片,兼顧大視野與細節,提升分析效率。

病理成像的解決方案

? 推薦ML31-M/ML51-M顯微鏡配MSX系列相機,人體工學設計減輕疲勞,寬視野目鏡與高清物鏡提升效率。 ? FISH/免疫熒光觀察用MF43-N熒光顯微鏡,多通道熒光轉盤,長效LED光源,高分辨物鏡,適配大像元相機。 ? MDS4數字切片掃描系統,融合掃描與熒光功能,快速拼接高清大圖,適合科研與臨床。 ? ME40大體相機,自動對焦,大像素高變焦,腳踏控制,靈活安裝,適用于大體標本記錄。

生物顯微鏡ML51-M提供大視野、高質量、穩定的成像

產品推薦
微信分享

微信掃描二維碼,點擊右上角 ··· 按鈕

轉發給朋友或分享到朋友圈

電話咨詢

Tel:18102637572
QQ

QQ咨詢

505506350
微信二維碼

微信咨詢

微信

分享微信

TOP