微信掃描二維碼,點擊右上角 ··· 按鈕
轉發給朋友或分享到朋友圈
顯微成像·洞察微觀之美
Microscopic imaging, insight into the beauty of micro
文獻分享│結直腸癌化療耐藥新線索:脆弱擬桿菌的作用及噬菌體 VA7 的逆轉潛力
發布時間:2026-03-04
訪問量:218

本文配圖均來源于:Xiao Ding 等. Bacteroides fragilis promotes chemoresistance in colorectal cancer, and its elimination by phage VA7 restores chemosensitivity. Cell Host & Microbe, Cell Stem Cell, 2025, 33 (6): 941-956.e10 DOI: [10.1016/j.chom.2025.05.004]
研究背景結直腸癌(CRC)是全球范圍內發病率和死亡率均位居前列的惡性腫瘤之一,嚴重威脅人類健康。據世界衛生組織(WHO)統計,其在全球癌癥發病率中排名第三,死亡率排名第二,且發病率呈逐年上升和年輕化趨勢。在我國,結直腸癌的發病率和死亡率也位居惡性腫瘤前列,已成為重要的公共衛生問題。
目前,結直腸癌的治療以手術切除為主,輔以化療、放療、靶向治療和免疫治療等綜合手段。其中,5 - 氟尿嘧啶(5-FU)、奧沙利鉑(OXA)等化療藥物是晚期或轉移性結直腸癌的基礎治療方案,可顯著延長患者生存期。然而,臨床中約有50% 的患者會出現化療耐藥,導致治療失敗、腫瘤復發和轉移,這是當前結直腸癌治療面臨的核心挑戰之一。
近年來,大量研究證實腸道菌群在結直腸癌的發生、發展及治療反應中扮演著關鍵角色。腸道菌群失調可通過多種途徑促進腫瘤發生,如誘導慢性炎癥、產生致癌代謝物、調控免疫微環境等。同時,腸道菌群也深刻影響著腫瘤對化療藥物的敏感性:某些共生菌可增強化療藥物的抗腫瘤活性;而某些致病菌(如脆弱擬桿菌)則可通過激活腫瘤細胞內的信號通路,抑制化療誘導的細胞凋亡,從而介導化療耐藥。
研究流程Bacteroides fragilis promotes chemoresistance in colorectal cancer, and its elimination by phage VA7 restores chemosensitivity提供了關于脆弱擬桿菌(BF)在結直腸癌中功能和臨床意義的證據,研究證明,BF通過其外膜蛋白 SusD/RagB 直接激活 Notch1 信號通路,從而介導化療耐藥;作者利用噬菌體VA7選擇性消除 BF,可以恢復體外和小鼠模型中的CRC化學敏感性。這些發現對CRC患者的臨床診治具有重要意義。

脆弱擬桿菌介導結直腸癌化療耐藥及噬菌體干預策略
圖1兩個獨立的結腸癌患者群體腸道微生物與化療反應的關聯
以6個月為觀察期,將結腸癌患者(CRC)分為應答者和無應答者,化療前糞便收集,進行宏基因組測序分析菌群組成(圖1A);LEfSe 分析篩選差異特征菌(圖1B&E);BF豐度與患者生存的關系(圖1D&F)。結果:BF是化療無反應的獨立預測因子,BF可能是導致結直腸癌化療耐藥的影響因素。

圖2 BF對CRC異種移植中化療耐藥性的影響
HT29異種移植至裸鼠后經5-FU/OXA處理后,BF、大腸桿菌或PBS每兩周進行一次腫瘤內給藥(圖2A);大腸桿菌和PBS組中,5-FU抑制了腫瘤生長,而 BF則削弱了這些作用(圖2B-D);通過TUNEL檢測細胞凋亡,其中BF + 化療組的細胞凋亡(TUNEL 陽性)比例遠低于 PBS/EC + 化療組。

通過Ki67檢測細胞增殖,BF + 化療組的細胞增殖比例更高,說明化療誘導的細胞凋亡被抑制,腫瘤細胞在化療下仍在活躍生長(圖2E-F)。BF的促耐藥作用在Apc 基因突變的自發腸癌小鼠、AOM/DSS 誘導的腸癌誘發模型和人源化的人工生殖器AOM/DSS誘導CRC小鼠模型中是一致的(圖2G-L)。

圖3 BF激活 Notch 信號通路,促進結直腸癌化療耐藥
為了解BF驅動藥物抗性的分子機制,通過GSEA分析,發現BF介導Notch信號通路可能為化療耐藥的核心通路;經BF處理后的HT29和HCT116中Notch1 的胞內活性片段(NICD1)、Notch1 總蛋白及下游靶基因(Hes1、c-Myc)的表達水平顯著升高,說明BF 確實激活了 Notch 信號通路,并抑制了化療誘導的凋亡。免疫熒光染色顯示,在HT29細胞中Notch1活化(圖3C)。
加入 DAPT 抑制 Notch 通路后,BF + 化療組的腫瘤負荷顯著降低,與 PBS + 化療組無顯著差異,因此抑制 Notch 信號通路可以有效逆轉 BF 介導的化療耐藥(圖3E-G);在 Notch1 敲除小鼠中,BF 無法再促進化療耐藥,BF + 化療組的腫瘤負荷與PBS化療組無顯著差異,結論:Notch1 是 BF 介導化療耐藥的關鍵分子(圖3H-J)。

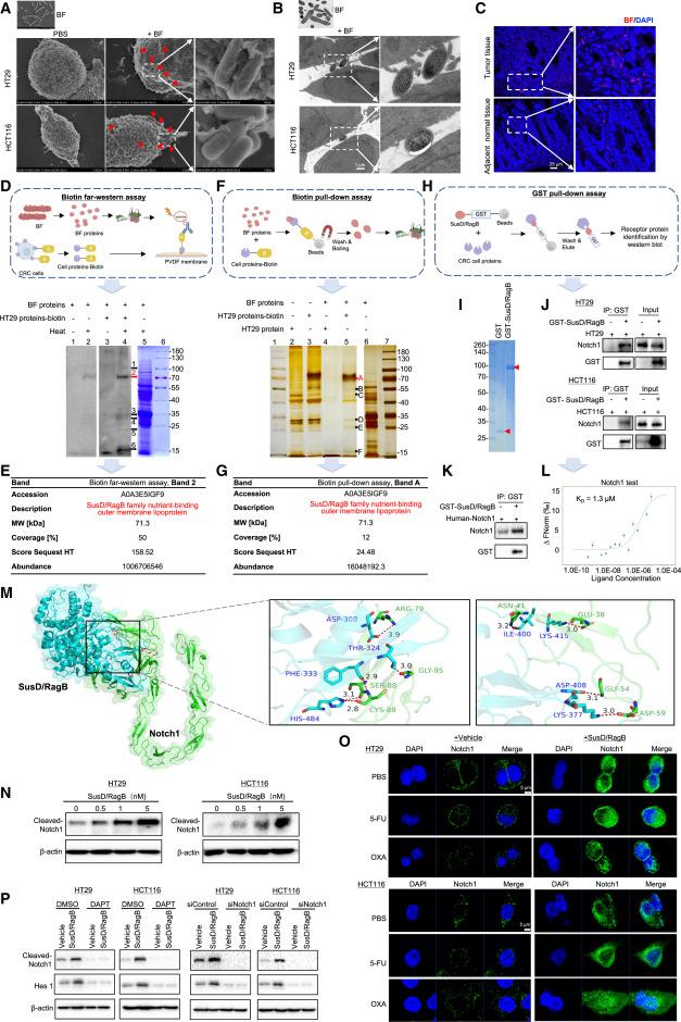
圖4 BF的外膜蛋白SusD/RagB直接結合并激活Notch1信號通路
掃描電鏡(SEM)和透射電鏡(TEM)結果顯示,BF可直接黏附于 HT29 和 HCT116 等結直腸癌細胞的表面,并與細胞膜形成緊密接觸和局部凹陷結構。三維共聚焦成像進一步證實了BF 與細胞的共定位,提示兩者之間存在直接的分子相互作用;通過生物素遠緣雜交(Biotin far-western)實驗,從 BF 全蛋白中篩選出可與 HT29 細胞蛋白結合的特異性條帶,經質譜鑒定為 SusD/RagB 家族外膜蛋白。
GST pull-down 實驗證實,純化的 GST-SusD/RagB 融合蛋白可特異性地從 HT29 和 HCT116 細胞裂解液中拉下 Notch1 蛋白;通過不同濃度SusD/RagB 處理后 Cleaved-Notch1(NICD1)及下游靶基因(Hes1)的表達和定位,驗證BF 通過其外膜蛋白 SusD/RagB 直接結合并激活 Notch1 信號通路,從而促進結直腸癌化療耐藥(圖4N-O)。


圖5 SusD/RagB參與BF的化學耐藥
為進一步驗證SusD/RagB在脆性芽孢桿菌介導的化學耐藥中的重要性,研究人員構建了SusD/RagB缺失的 BF(B. fragilisΔSusD/RagB)(見圖5B和5C),未能誘導Notch1激活(見圖5D)及在CRC細胞(圖S7J)和HT29異種移植中出現化學耐藥(見圖5E和5F)。還構建了大腸桿菌MG1655,SusD/RagB(大腸桿菌SusD/RagB)(見圖5G)。大腸桿菌SusD/RagB導致HT29異種移植中的化學耐藥性(見圖5H和5I),該效應被DAPT消除,證實SusD/RagB對脆弱擬桿菌的化學耐藥作用至關重要。

圖6 噬菌體VA7體外消除BF的效能以及安全性
通過體外噬菌體殺傷實驗、構建短期和長期噬菌體治療模型,得出VA7可以特異性破壞BF,對EC無顯著殺傷作用,噬菌體VA7降低了BF在糞便以及腫瘤組織中的豐度,且對肝功能、腎功能和體重等無顯著影響。

圖7 噬菌體VA7逆轉了CRC小鼠中BF誘導的化學抗性
最后,研究人員探究了VA7在體內克服BF的化療耐藥作用。構建HT29 異種移植瘤模型和AOM/DSS 誘導的 CRC 模型,分別給予 PBS、BF、BF+VA7 處理,同時聯用 5-FU 或 OXA 化療,BF+VA7分別抑制了BF介導的化療中結直腸腫瘤的生長和腸道病變。結論:噬菌體VA7 靶向清除 BF 可有效逆轉化療耐藥,并恢復腫瘤對化療的敏感性。
研究意義
本文提供了關于脆芽孢桿菌在結直腸癌中功能和臨床意義的證據,BF通過SusD/RagB與CRC細胞相互作用,抑制化療誘導的細胞凋亡。除此之外,還驗證了利用噬菌體VA7可以選擇性消除 BF,開發了噬菌體VA7 靶向清除 BF 的策略,有效逆轉了 Notch 通路激活和化療耐藥。噬菌體 VA7 對 BF 具有高度特異性,不影響其他腸道菌群,且體內安全性良好,為“精準微生物組干預”治療腫瘤提供了成功范例。該策略可與現有化療、靶向或免疫治療聯用,有望顯著提升結直腸癌的整體治療效果,并為其他腫瘤類型的菌群相關耐藥研究提供借鑒。
微信掃描二維碼,點擊右上角 ··· 按鈕
轉發給朋友或分享到朋友圈