微信掃描二維碼,點擊右上角 ··· 按鈕
轉發給朋友或分享到朋友圈
顯微成像·洞察微觀之美
Microscopic imaging, insight into the beauty of micro
接種劑次超29億!中國新冠疫苗奇跡幕后故事
發布時間:2026-03-10
訪問量:212
據新華社1月11日消息,中國全國新冠疫苗接種劑次已經超過29億,完成全程接種人數超12.1億,無論數量還是覆蓋比例都處于世界領先水平,堪稱又一個中國奇跡,到底是怎么達成的?我們今天就以廣泛接種的滅活疫苗為例講講背后的故事。

新華社:接種劑次已經超過29億

滅活疫苗,CDC提供, by Jim Gathany
一般來說,一款疫苗的研發周期需要10-15年,但這樣的研發速度顯然無法追上擴散極快的新冠疫情。
2020年全球疫苗研發都在跟病毒賽跑,為了盡早實現“疫苗自主”的目標,國家同步推進五種技術路線的疫苗研發,其中滅活疫苗備受期待。滅活疫苗至今已經有120年以上的使用歷史,是非常成熟、安全的疫苗技術,因此研發生產成本一般相對低————但這對傳染性極強的新冠病毒來說并不適用。

P3級別生物安全實驗室,CDC提供,by Greg Knobloch
生產滅活疫苗需要先培養病原體,再滅活做成疫苗。新冠病毒傳染性極高,因此需要生產車間達到P3生物安全級別,這意味著負壓空間、密封的工作服,以及,每個車間10億以上的高昂成本。
常規來說,企業很難下決策做如此高成本、高風險的投入,但在中國舉國之力加持下,中國生物頂住巨大壓力,耗時2個月左右就建成了其他國家望塵莫及的超大型新冠滅活疫苗生產車間,并持續在蘭州等地繼續擴大生產,為驚人的產能和接種率提供了基礎。

新冠滅活疫苗,引用自科興官網
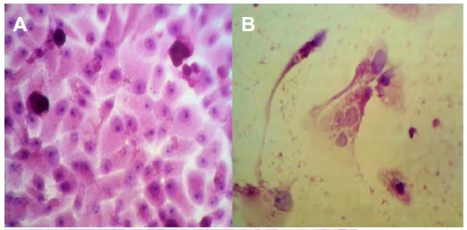
我們打的新冠疫苗包裝上都有"VERO細胞"的標注,那這是什么意思呢?VERO細胞是非洲綠猴腎細胞,外觀呈梭形,一般用于檢查大腸桿菌毒素以及作為病毒培養的細胞宿主。

正常VERO細胞 vs 感染病毒后的VERO細胞,PubMed DOI: 10.2147/OV.S59037, Al-Shammari A.M.
生產技術人員使用培養皿培養VERO細胞,觀察判斷細胞培養數量理想后,投入新冠病毒,感染病毒的VERO細胞會完全破壞,扁圓皺縮,形成空泡空洞,觀察破壞情況可以判斷病毒培養進程,培養成功后,生產技術人員就可以把培養液倒出來收獲、滅活、提純,做成新冠滅活疫苗了。

10層細胞工廠培養皿
傳統的大規模細胞培養一般用轉瓶培養或生物反應器,但這些技術難以擴大到滿足新冠疫苗生產需要,實際新冠滅活疫苗生產用的是“細胞工廠”培養皿。

MI52-CF和10層細胞工廠培養皿
細胞工廠培養皿有1層、2層、5層、10層和40層幾種規格,每層632平方厘米,10層細胞工廠就相當于36個T175培養皿,密度很高,且只需簡單操作就可以把培養液平均分到每一層,使用便捷安全,占用空間少。

多層細胞工廠成像儀和細胞工廠培養皿
細胞工廠另一優勢是便于觀察。以往細胞培養很多都要逐個采樣,放到多孔培養板上顯微觀察,非常消耗人力;而細胞工廠形態比較方正,適合機械臂自動化操作,除了可以用細胞工廠顯微鏡MI52-CF等產品直接觀察底下兩層,還能放到
之類設備上自動完成40層細胞工廠的原位觀察拍照,大大減低觀察評估所需的人力。
要在一個超級人口大國達成如此高的接種率,當然不止單靠研發、生產技術的創新和整合,更有賴于國家從前期就提前做好規劃,以及執行層面有無數基層醫療工作者的無私奉獻,目前國內正面對奧密克戎新變種的嚴峻挑戰,但我們此前已經經受挑戰,并達成了驚人的疫苗產能和接種率,相信我們這次也能夠找到方法有效應對。
*本網站無法鑒別所上傳圖片、字體或文字內容的版權,如無意中侵犯了哪個權利人的知識產權,請來信或來電告之,本網站將立即予以刪除,謝謝。
微信掃描二維碼,點擊右上角 ··· 按鈕
轉發給朋友或分享到朋友圈