微信掃描二維碼,點擊右上角 ··· 按鈕
轉發給朋友或分享到朋友圈
顯微成像·洞察微觀之美
Microscopic imaging, insight into the beauty of micro
顯微鏡帶您認識藏在腳氣里的“頑固分子”——紅色毛癬菌
發布時間:2026-04-07
訪問量:616
每到春夏,腳趾間瘙癢、脫皮、小水皰反復發作——這很可能是紅色毛癬菌在作祟。作為腳氣(足癬)最主要的致病菌,紅色毛癬菌被稱為皮膚癬菌中的“頑固分子”。它不僅難以根除,還常?!皾摲痹谄つw角質層中,伺機復發。
今天,我們就借助顯微鏡的視角,揭開這個頑固分子的真面目。
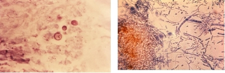
在顯微鏡下,紅色毛癬菌有著獨特的形態特征。經過乳酸酚棉藍染色后,可以清晰地看到透明、有隔的菌絲,菌絲兩側生長著梨形或棒狀的小分生孢子,有時可見細長、壁薄的大分生孢子。

在實驗室培養條件下,紅色毛癬菌在沙堡弱培養基上生長為絨毛狀菌落,初期呈白色,成熟后逐漸轉為紅色或棕紅色,背面常滲出深紅色色素——這也是它名字的由來。

紅色毛癬菌的頑固,體現在三個方面:
1. 潛伏能力強
它可以在皮膚上攜帶而不引起任何癥狀,處于潛伏感染狀態。當環境適宜(如長時間穿鞋、足部潮濕)時,便迅速激活,導致腳氣復發。這種“靜默存在”的能力,讓患者常常誤以為腳氣已經自愈,實則只是暫時休眠。
2. 生物被膜保護
研究發現,紅色毛癬菌能夠形成生物被膜——一種由菌絲和胞外基質組成的復雜結構,如同一道“物理屏障”,顯著降低抗真菌藥物的滲透效率。這解釋了為什么單純的外用藥物有時難以徹底清除感染。
3. 角質層避難所
紅色毛癬菌主要侵犯皮膚的角質層。當感染時間較長、角質層增厚后,外用藥物難以滲透到病菌藏匿的深處,必須依賴口服藥物才能觸及。
在科研領域,倒置顯微鏡是研究紅色毛癬菌的重要工具。
研究人員將紅色毛癬菌接種到培養板中,在不同時間點用倒置顯微鏡觀察生物被膜的形態變化——從最初的孢子黏附,到菌絲伸出,再到形成致密的被膜網絡,每一個關鍵節點都被清晰記錄。
當測試新型抗真菌藥物(如異黃綿馬酸PB、鹽酸小檗堿)的效果時,顯微鏡下的變化更加直觀:菌絲表面變粗糙、萎縮、皺癟,出現破損和斷裂,細胞結構模糊甚至崩解。這些形態學證據,為藥物研發提供了最直接的視覺支撐。

在真菌研究與臨床檢驗中,一臺可靠的顯微鏡不可或缺。
明美光電倒置顯微鏡采用無限遠光學系統與高性能平場物鏡,能夠清晰呈現紅色毛癬菌的菌絲、孢子及生物被膜細節。無論是日常的真菌鏡檢(如KOH直接涂片觀察),還是科研中的藥物作用機制研究,明美顯微鏡都能提供高分辨率、高對比度的圖像,幫助研究人員“看清”每一個頑固分子。
MIX60系列:適合臨床檢驗室的日常真菌鏡檢,操作簡便,成像清晰
MIX60-FL:配備熒光模塊,可進行熒光染色觀察,輔助真菌鑒定
MCS活細胞成像系統:支持培養箱內長時間動態監測,記錄生物被膜形成全過程

紅色毛癬菌雖頑固,但在顯微鏡的注視下,它的形態、結構、變化都無所遁形。從基礎的KOH涂片鏡檢,到前沿的藥物機制研究,顯微鏡始終是揭開這個“頑固分子”真面目的關鍵工具。
下一次腳癢難忍時,不妨想一想:那些看不見的菌絲,正在顯微鏡下等待著被揭穿。而選擇一臺可靠的倒置顯微鏡,就是為實驗室配備了一雙“火眼金睛”。
免責聲明
本站無法鑒別所上傳圖片、字體或文字內容的版權,如無意中侵犯了哪個權利人的知識產權,請來信或來電告之,本站將立即予以刪除,謝謝。
微信掃描二維碼,點擊右上角 ··· 按鈕
轉發給朋友或分享到朋友圈